近日,血管外科与介入科完成一例惊心动魄的抢救。一位68岁的男性患者突发晕厥、命悬一线,被诊断为急性高危肺栓塞,该急症死亡率极高,其肺动脉主干被大量血栓完全堵塞,右心系统濒临崩溃。危急时刻,苏大附四院医疗团队通过一项在腿部留下一个仅针眼大小伤口的微创介入技术——经皮肺动脉血栓清除术。在局部麻醉下,医疗团队进行了一场精准的“血管内拆弹”,成功清除了致命血栓,术后患者生命体征恢复平稳,康复效率高。

沉默的“定时炸弹”:认识急性高危肺栓塞
肺栓塞并非罕见病,其本质是血栓堵塞了肺动脉系统。多数血栓来源于下肢深静脉,脱落后随血流“漂流”至肺部。当血栓巨大,一次性堵塞肺动脉主干或主要分支时,便构成了急性高危肺栓塞。
此时,肺部气体交换几乎停摆,而右心室为了将血液泵入已被堵塞的肺动脉,会急剧膨胀、压力飙升,很快导致衰竭。这就像让一个水泵全力冲击一扇紧闭的阀门,结果必然是泵体(右心)的损伤和整个循环系统(全身供血)的崩溃。患者会瞬间出现严重缺氧、休克、意识丧失,临床死亡率极高。
微创介入成为破局关键
面对如此凶险的病情,传统治疗方案存在明显局限:单纯抗凝治疗,仅能防止血栓扩大,无法立即解除已存在的机械性梗阻,对于已休克的患者是“远水难救近火”;系统溶栓治疗虽能溶解血栓,但需要全身用药,导致出血风险显著增高,尤其对于老年或有潜在出血风险的患者,可能造成脑出血等灾难性并发症;开胸取栓术需要锯开胸骨、建立体外循环,手术创伤巨大,对于本身已处于循环衰竭状态的患者,手术耐受性极差,围术期风险极高。在此背景下,经皮肺动脉血栓清除术凭借其鲜明的微创优势,成为了抢救生命的首选方案。
手术室内的“生命通道”重建记
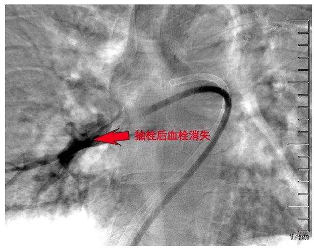
手术在现代化的杂交介入手术室进行。患者清醒地平卧在手术台上,医生在其腹股沟区消毒、局麻后,穿刺股静脉,送入一根比圆珠笔芯还细的导管。在X线透视的“实时地图”导航下,导管轻柔地经过心脏,直抵被血栓“堵死”的肺动脉主干。
医生将一种专用的大腔血栓抽吸导管沿导丝送至血栓内部。随着负压的启动,血栓被源源不断地吸入体外收集装置。术后即刻的肺动脉造影显示,先前中断的血流通道被重新打通,右心压力随之下降。这场在血管内部进行的“疏通作业”,安静而高效,没有开胸的惊心动魄,却完成了同样关键的使命。
极致微创,体表无痕:手术入口仅为大腿根部一个约2-3毫米的穿刺点,无需切开、缝合,术后几乎不留疤痕。避免了开胸手术的巨大创伤和漫长恢复。
精准靶向,直击病灶:在数字减影血管造影(DSA)的实时高清引导下,介入导管可被精确导航至肺动脉内的血栓部位,实现“指哪打哪”的精准治疗。通过专用的抽吸导管,可像“微型吸尘器”一样,将堵塞主干的血栓快速吸出,术中即可恢复肺动脉主干血流,患者血压、血氧常在数分钟内得到改善。
局部麻醉,风险更低:患者在整个手术过程中保持清醒,仅穿刺部位有局部麻醉。这避免了大麻醉对循环和呼吸系统的进一步抑制,尤其适用于高龄、体弱、无法耐受全麻的危重患者。
恢复迅捷,并发症少:术后患者即可转入普通病房,恢复情况良好次日便可下床活动。极大地减少了长期卧床导致的感染、血栓再形成等并发症,缩短了住院时间。
不止急救,为长远健康保驾护航
此次抢救的成功,其意义远不止于将患者从死亡线上拉回。更重要的价值在于对心脏功能的“提前保护”。急性肺栓塞后,患者会发展为慢性血栓栓塞性肺动脉高压(CTEPH),这是一种进行性、致命性的后遗症,最终导致右心衰竭。通过微创介入迅速解除梗阻、降低肺动脉压力,从根本上减轻了右心室的不可逆损伤,最大程度地预防了CTEPH的发生。这不仅挽救了一条生命,更是守护了患者未来的生活质量和心脏健康,实现了从“急诊救命”到“长远保心”的跨越。
以微创之“小”,解生命之“危”;以精准之“道”,护长远之“安”。此例手术获成功,标志着我们在肺栓塞救治领域已建立起一套成熟、高效的微创化生命支持体系,为更多患者打开了生命的绿色通道。