8月18日,国内首款获批用于诊断阿尔茨海默病(AD)淀粉样蛋白(Aβ)沉积的PET显像剂——氟18F贝他苯注射液,在苏州大学附属第四医院核医学科顺利完成江苏省首批临床患者检查应用。

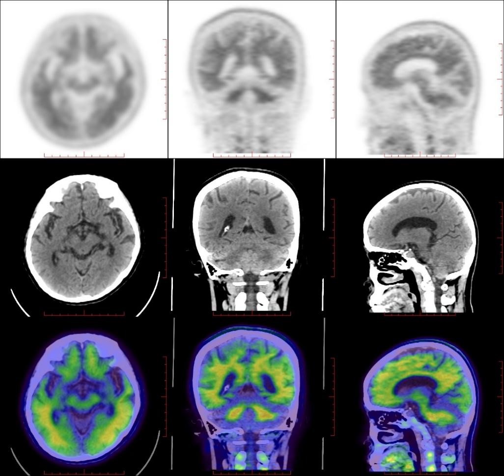
氟[¹⁸F]贝他苯Aβ-PET/CT脑显像检查阳性患者
如图,可见大脑灰质弥漫性β-淀粉样蛋白(Aβ)沉积;CT可见脑皮质萎缩。
阿尔茨海默病(Alzheimer′s disease, AD),俗称“老年痴呆”,是一种以进行性认知功能障碍和行为损害为主要特征的神经退行性疾病,这些患者的脑中仿佛有一块橡皮擦,会把记忆和认知能力一点点擦掉。随着人口老龄化的加剧,我国阿尔茨海默病的发病率也随之增加,给社会和家庭带来沉重负担。早期诊断和精准治疗成为当前亟待解决的问题。
现阶段的研究证明,β-淀粉样蛋白(Aβ)沉积与tau蛋白的纤维缠结是阿尔兹海默症的关键因素,早在患者出现明显临床症状的15-20年之前,患者的脑中就已开始沉积β-淀粉样蛋白(Aβ)。如果能够针对AD患者进行早期精准诊断,便可以进行早期治疗干预。
苏州大学附属第四医院核医学科开展了一项淀粉样蛋白Aβ-PET/CT脑显像新应用,该检查安全、无创、且可以为患者提供病理级的精准诊断。淀粉样蛋白Aβ-PET/CT脑显像是利用氟[¹⁸F]贝他苯注射液进行的脑PET受体显像,而氟[¹⁸F]贝他苯注射液已获国家批准上市,是我国首个应用于阿尔茨海默病的显像药物。
在治疗阶段,仑卡奈单抗和多奈单抗注射液是一种靶向β-淀粉样蛋白(Aβ)的单克隆抗体,用于治疗成人因阿尔茨海默病引起的轻度认知功能障碍和轻度痴呆。仑卡奈单抗和多奈单抗均要求治疗前确认患者脑内Aβ病变存在。Aβ-PET/CT脑显像可以直观的证明脑内是否存在异常积聚的Aβ,可用于两款药物治疗前患者筛选及治疗后疗效评估,以便于AD患者的精准管理。
Aβ-PET/CT脑显像具有以下优势:
1.灵敏度和特异性均大于90%,可以实现早期、精准诊断;
2.安全、无创:前期药物临床试验结果安全,不良反应发生率低且无严重不良反应发生;
3.可以为临床提供直观的诊断结果和疗效评价。
1.疑似早期阿尔茨海默病患者,如出现轻度认知障碍或主观记忆力下降;
2.家族性阿尔兹海默症高风险评估:如家族史阳性、APOE ε4基因携带者;
3.接受抗Aβ药物治疗的患者疗效评估;
4.疑似阿尔兹海默症但与其他痴呆(如血管性痴呆、路易体痴呆等)鉴别诊断困难的患者。
Aβ-PET/CT脑显像检查注意事项:
1.需要至少提前一天至核医学科前台预约检查;
2.显像前准备:水和食物对Aβ PET显像无干扰,检查前无需禁饮食;抗-Aβ药物检查前停用12小时;
3.检查结束后多喝水多排尿,便于促进药物排泄;检查当日避免接触孕妇及婴幼儿。
Aβ-PET/CT脑显像为我院神经内科对AD患者的诊断治疗提供了重要的技术支撑,标志着我院在神经退行性疾病诊疗领域迈上了新的台阶。如您发现自己或周围的家人出现记忆力下降、逻辑混乱等AD相关症状,建议及时寻求医疗帮助。